Отзывы о рекламе Здоровье и благополучие 5 мин чтения Ультрапереработанные продукты превращают человеческие бедра в стейки с ярко выраженной мраморностью Автор

Санди ЛаМотт Обновлено 14 апреля 2026 г., 10:00 по восточному времени Опубликовано 14 апреля 2026 г., 10:00 по восточному времени ОПУБЛИКОВАНО 14 апреля 2026 г., 10:00 по восточному времени

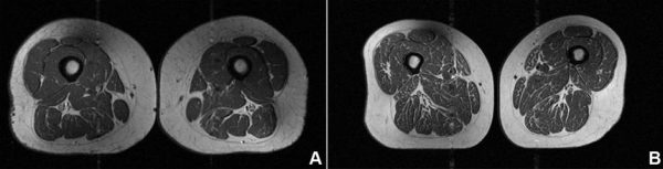
МРТ бедер женщины. Ее рацион на 87% состоял из продуктов ультрапереработанной переработки. Радиологическое общество Северной Америки. Питание и здоровье. Хронические заболевания. Здоровье. См. все темы. Facebook. Твитнуть. Электронная почта. Ссылка. Темы. Ссылка скопирована! Подписаться.
На снимке изображен кусок мяса с ярко выраженной мраморностью, напоминающий высококачественный стейк с обильными мелкозернистыми прожилками жира. Но это не ужин. Это МРТ бедра 62-летней женщины, которая получает 87% своих годовых калорий из ультрапереработанных продуктов.
«В рационе этого участника исследования преобладали сухие завтраки, шоколадные конфеты или батончики, обычные безалкогольные напитки или сладкие напитки в бутылках», — сказала доктор Зехра Аккая, исследователь и консультант группы клинических и трансляционных исследований опорно-двигательной системы в Калифорнийском университете в Сан-Франциско.
Скрытые жировые прослойки, прячущиеся между мышечными волокнами и внутри них, могут сигнализировать о серьезных проблемах со здоровьем, заявил Аккая, ведущий автор нового исследования, в котором анализировалось влияние ультрапереработанных продуктов на внутримышечный жир у людей, подверженных риску развития остеопороза коленного сустава.
Употребление ультрапереработанных продуктов питания связывают с увеличением веса и ожирением, а также с развитием хронических заболеваний, включая рак, сердечно-сосудистые заболевания, диабет 2 типа и депрессию. Такие продукты могут даже сократить продолжительность жизни.
По данным Центров по контролю и профилактике заболеваний США, более 50% калорий, потребляемых взрослыми в США, поступает из ультрапереработанных продуктов. У детей этот показатель возрастает до 62%.
У 61-летней женщины, участвовавшей в исследовании, также наблюдалась жировая мраморность в мышцах бедра, но она была не такой интенсивной. Около 29% ее годового рациона составляли ультрапереработанные продукты.
«Это вызывало особую тревогу, поскольку у этих людей, обследованных в период, когда у них не было признаков остеоартроза коленного сустава, уже наблюдалось ухудшение качества мышц», — сказал Аккая.
Связь между жировыми отложениями в мышцах и болью в колене
Жировые клетки ослабляют мышцы, препятствуя их росту и не позволяя мышечным волокнам должным образом регенерироваться. Слабость мышц является ключевой причиной остеоартроза коленного сустава, наиболее распространенной формы заболевания суставов, поражающей почти 375 миллионов человек во всем мире. Ранее считавшийся болезнью пожилых людей, согласно одному исследованию, более половины новых случаев приходится на людей моложе 55 лет, что, вероятно, обусловлено резким глобальным ростом ожирения.
«Мышцы бедра играют решающую роль в стабильности коленного сустава, и любая потеря их силы или тонуса может увеличить механическую нагрузку на сустав, особенно у людей с ожирением, где избыточный вес усиливает эту нагрузку», — сказал Аккая. «Наша группа и другие исследователи ранее установили прочную связь между силой, качеством и функцией мышц, а также развитием остеоартроза коленного сустава».
Обнаружение внутримышечного жира в бедре означает, что поражены и другие мышцы тела, заявила радиолог доктор Мириам Бределла, директор Института клинических и трансляционных исследований в медицинском центре NYU Langone Health в Нью-Йорке.
«Это системный процесс, поэтому он затрагивает не только бедро. Вы можете посмотреть на другие мышцы — икры, плечи, живот — и они будут выглядеть аналогично», — сказала Бределла, которая не принимала участия в исследовании.
По словам эксперта, снижение качества мышечной ткани из-за жировой инфильтрации означает, что мышцы становятся слабее, а это, в свою очередь, является предвестником будущих проблем со здоровьем.
«Если вы находитесь в больнице, мышечная слабость увеличивает продолжительность вашего пребывания. Если вам предстоит операция, это…» «Это негативный фактор, определяющий исходы», — сказала Бределла. «Мы провели множество исследований на пациентах с раком. Он увеличивает риск хирургических осложнений, рецидивов опухоли — это плохо».
Виноваты ли в этом ультрапереработанные продукты?
В новом исследовании, опубликованном во вторник в журнале Radiology, были проанализированы МРТ-снимки 615 участников Инициативы по изучению остеоартроза — общенационального исследования, направленного на изучение способов профилактики и лечения остеоартроза коленного сустава. Ни у одного из участников исследования не было признаков остеоартроза коленного сустава. В среднем возраст участников составлял 60 лет, а индекс массы тела (ИМТ) — 27.
При расчете индекса массы тела (ИМТ) человека, значение от 25 до 29,9 считается избыточным весом, от 30 до 34,9 — ожирением, от 35 до 39,9 — ожирением 2-й степени, а значение более 40 — «тяжелым» ожирением 3-й степени.
У 61-летней женщины, рацион которой на 29,5% состоял из ультрапереработанных продуктов (A на изображении ниже), индекс массы тела (ИМТ) был немного выше — 32,6, а показатель физической активности — значительно ниже, чем у женщины (B на изображении) с ИМТ 31,8, чей рацион на 87,1% состоял из ультрапереработанных продуктов. Однако у женщины с более высоким показателем потребления ультрапереработанных продуктов наблюдалось значительно больше жировых прожилок на бедрах.

Рацион питания женщины слева на 29,5% состоял из продуктов ультрапереработанной переработки, а рацион питания женщины справа — на 87,1%. (Радиологическое общество Северной Америки)
По словам ведущего автора исследования, доктора Томаса Линка, профессора и заведующего отделением радиологии опорно-двигательного аппарата в Департаменте радиологии и биомедицинской визуализации Калифорнийского университета в Сан-Франциско, потребление калорий, по-видимому, не имело значения.
«В ходе исследования было установлено, что чем больше ультрапереработанных продуктов потреблял человек, тем больше внутримышечного жира у него накапливалось в мышцах бедра, независимо от количества потребляемых калорий», — сказал он.
Хотя исследование не смогло доказать, что ультрапереработанные продукты вызывают жировую мраморность в мышцах, «была выявлена сильная взаимосвязь», — сказала Бределла. «Но мы понятия не имеем, как долго нужно употреблять ультрапереработанные продукты, чтобы это произошло с мышцами. Если просто перестать есть эти продукты — исчезнет ли это?»
«Нам известно, что если у вас есть жировая инфильтрация мышц, и вы начинаете заниматься спортом и правильно питаться, вы определенно можете улучшить качество своих мышц», — сказала она. «У молодых людей это намного проще, чем у пожилых, но это возможно».
Как сбросить жир, нарастить мышечную массу и защитить суставы
Линк советует избегать игровых видов спорта, таких как баскетбол или теннис: «Мы не рекомендуем высокоинтенсивные упражнения, поскольку они могут разрушить коленный сустав. Лучше всего подходят упражнения с низкой интенсивностью».
По словам экспертов, необходимо целенаправленно тренировать мышцы, окружающие колено — квадрицепсы, бицепсы бедра, ягодичные мышцы и икроножные мышцы — с помощью таких упражнений, как приседания у стены, упражнения на степ-платформе, подъемы ног стоя, подъемы внутренней поверхности бедра и подъемы на носки и пятки.
«В одном из наших исследований мы обнаружили, что эллиптический тренажер очень полезен, возможно, даже более полезен, чем другие упражнения с низкой ударной нагрузкой. И, конечно же, силовые тренировки с отягощениями очень помогают», — сказал Линк.
Что касается питания, то, по словам Бределлы, лучше всего употреблять в пищу сбалансированные блюда из «натуральных продуктов», приготовленных вами дома.
«Мышцам необходимо достаточное количество белка, но обращение к ультрапереработанным протеиновым батончикам и добавкам — это не решение», — сказала она. «Многие из этих протеиновых батончиков просто полны сахара и на самом деле не полезны, вопреки тому, что указано на этикетке».
Вы можете еще больше сократить потребление ультрапереработанных продуктов, предприняв следующие шаги:
1) Внимательно читайте и сравнивайте этикетки продуктов и старайтесь выбирать менее обработанные альтернативы. Например, замените йогурт с добавками на йогурт без добавок с фруктами.
2) То, что вы включаете в свой рацион, так же важно, как и то, что вы исключаете. Сосредоточьтесь на том, что вы можете добавить в свой рацион, например, цельнозерновые продукты, овощи, бобовые и фрукты в свежем, замороженном или консервированном виде.
3) Следите за напитками. Подслащенные сахаром напитки не имеют никакой питательной ценности. Замените их водой.
4) Когда едите вне дома, посещайте местные рестораны и кафе, а не сети быстрого питания. В местных заведениях реже используют продукты глубокой переработки.
Еда и здоровье Хронические заболевания Здоровье Все темы Facebook Твитнуть Email Ссылка Темы Ссылка скопирована! Подписаться












